Rabbit Anti-Human Collagen III Polyclonal: Alkaline Phosphatase

Size

100 µl

Catalog No

SPC-1275D-ALP

Price

350€

Immunogen

Synthesized peptide derived from internal of human collagen III.

Antibody's target

Human Collagen III

Antibody's full description

Rabbit Anti-Human Collagen III Polyclonal

Rabbit Anti-Human Collagen III Polyclonal: Alkaline Phosphatase

Primary research fields

Cell Signaling, Extracellular Matrix (ECM), Collagen, Stem Cells, Mesenchymal Stem Cells, Osteogenesis, Stem Cells, Mesenchymal Stem Cells, Chondrogenesis

Antibody's category

Polyclonal Antibodies

Antibody's other name

CO3A1_HUMAN Antibody, Collagen alpha 1(III) chain Antibody, Collagen III alpha 1 chain precursor Antibody, Collagen type III alpha 1 Antibody, EDS4A Antibody, Type III collagen Antibody

Rabbit Anti-Human Collagen III Polyclonal: Alkaline Phosphatase

Verified applications

IHC, ICC/IF, ELISA

Raised in

Rabbit

Antibody's reactivity

Human, Mouse, Rat

Rabbit Anti-Human Collagen III Polyclonal: Alkaline Phosphatase

Antibody's recommended dilutions for use

IHC (1:100), ICC/IF (1:500), ELISA (1:5000); optimal dilutions for assays should be determined by the user.

Antibody's purified from

Peptide Affinity Purified

Recommended buffer for storage

PBS pH 7.4, 50% glycerol, 150mM NaCl, 0.02% sodium azide

Rabbit Anti-Human Collagen III Polyclonal: Alkaline Phosphatase

Antibody's concentration

See included datasheet or contact our support service

Antibody's specificity

Detects ~138kDa, endogenous levels of total collagen III protein.

Storage recommendations

-20°C

Rabbit Anti-Human Collagen III Polyclonal: Alkaline Phosphatase

Shipping recommendations

Blue Ice or 4°C

Certificate of analysis

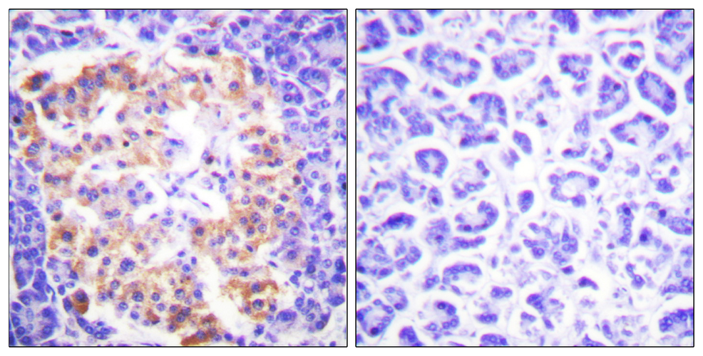
A 1:100 dilution of SPC-1275 was sufficient for detection of Collagen III in human pancreas tissue using Goat Anti-Rabbit IgG as the secondary antibody.

Antibody in cell

Extracellular matrix

Rabbit Anti-Human Collagen III Polyclonal: Alkaline Phosphatase

Tissue specificity

Soft connective tissues

Scientific context

Type-III collagen is the second most abundant form of collagen in the human body and can be found in intestinal walls, muscles, blood vessels and with collage type-I. Collagen Type-I and Type-III can be mixed together to create supplements for the skin, bone and muscles.

Bibliography

1. Janeczko R.A., Ramirez F. (1989). Nucleic Acids Res. 17(16): 6742. 2. Superti-Furga A., Gugler E., Gitzelmann R., Steinmann B. (1988). J Biol Chem. 263(13): 6226–32. 3. "Entrez Gene: COL3A1 collagen, type III, alpha 1 (Ehlers-Danlos syndrome type IV, autosomal dominant)".

Rabbit Anti-Human Collagen III Polyclonal: Alkaline Phosphatase

Released date

6/Sep/2016

NCBI number

NP_000081.1

Gene number

1281

Rabbit Anti-Human Collagen III Polyclonal: Alkaline Phosphatase

Protein number

P02461

PubMed number

Refer to PubMed

Tested applications

To be tested

Rabbit Anti-Human Collagen III Polyclonal: Alkaline Phosphatase

Tested reactivity

To be tested

Antibody's datasheet

Contact our support service to receive datasheet or other technical documentation.

Representative figure link

|

Rabbit Anti-Human Collagen III Polyclonal: Alkaline Phosphatase

Representative figure legend

Immunohistochemistry analysis using Rabbit Anti-Collagen III Polyclonal Antibody (SPC-1275). Tissue: Pancreas Tissue. Species: Human. Fixation: Formalin fixed paraffin-embedded. Primary Antibody: Rabbit Anti-Collagen III Polyclonal Antibody (SPC-1275) at 1:100. The image on the right is treated with the synthesized peptide. | Immunocytochemistry/Immunofluorescence analysis using Rabbit Anti-Collagen III Polyclonal Antibody (SPC-1275). Tissue: HeLa. Species: Human. Primary Antibody: Rabbit Anti-Collagen III Polyclonal Antibody (SPC-1275) at 1:100. The image on the right is treated with the synthesized peptide. Rabbit Anti-Collagen III Antibody used in Immunohistochemistry (IHC) on Pancreas Tissue (SPC-1275) | Rabbit Anti-Collagen III Antibody used in Immunocytochemistry/Immunofluorescence (ICC/IF) on HeLa (SPC-1275)

Warning information

Non-hazardous

Country of production

Canada

Rabbit Anti-Human Collagen III Polyclonal: Alkaline Phosphatase

Total weight (kg)

1.4

Net weight (g)

0.1

Stock availabilit

In Stock

Rabbit Anti-Human Collagen III Polyclonal: Alkaline Phosphatase

Description

This antibody needs to be stored at + 4°C in a fridge short term in a concentrated dilution. Freeze thaw will destroy a percentage in every cycle and should be avoided.

Test

StressMark antibodies supplies antibodies that are for research of human proteins.

Gene

Collagen Types in bones and muscles can be hydrolyzed and used in human grafts. ( Type II )

Rabbit Anti-Human Collagen III Polyclonal: Alkaline Phosphatase

Properties

Human proteins, cDNA and human recombinants are used in human reactive ELISA kits and to produce anti-human mono and polyclonal antibodies. Modern humans (Homo sapiens, primarily ssp. Homo sapiens sapiens). Depending on the epitopes used human ELISA kits can be cross reactive to many other species. Mainly analyzed are human serum, plasma, urine, saliva, human cell culture supernatants and biological samples.

Group

Polyclonals and antibodies

About

Polyclonals can be used for Western blot, immunohistochemistry on frozen slices or parrafin fixed tissues. The advantage is that there are more epitopes available in a polyclonal antiserum to detect the proteins than in monoclonal sera.Rabbits are used for polyclonal antibody production by StressMark antibodies. Rabbit antibodies are very stable and can be stored for several days at room temperature. StressMark antibodies adds sodium azide and glycerol to enhance the stability of the rabbit polyclonal antibodies. Anti-human, anti mouse antibodies to highly immunogenic selected peptide sequences are" monoclonal like" since the epitope to which they are directed is less than 35 amino acids long.

Rabbit Anti-Human Collagen III Polyclonal: Alkaline Phosphatase

Latin name

Oryctolagus cuniculus

Rabbit Anti-Human Collagen III Polyclonal: Alkaline Phosphatase